Cases
3D Nylon MAS
Dr Damian Teo uses 3D printed splints for all his TMD and sleep apnoea cases. During his time working in the Darwin TMJ & Sleep Therapy Centre, Dr Teo discovered 3D printed nylon splints and helped introduce them to Australia. Dr Teo has exclusively been using 3D printed splints (including 3D printed nylon) for over 8 years, and has helped spread its popularity amongst TMD and OSA dentists around Australia.
3D printed splints are significantly stronger and not as bulky as other acrylic dental splints, with a thickness of 1mm (compared to 5mm with regular acrylic). See some examples of our satisfied patients using 3D printed nylon splints for TMD and OSA, or learn more about our approach as a Melbourne-based sleep treatment clinic supporting innovative solutions for sleep-disordered breathing.
Sleep Apnea Splint
(Bringing The Jaw Forward)
3D printed nylon MAS demonstrating how it brings the bottom jaw forward. By bringing the bottom jaw forward at night, the throat and airway will stay patent, so you can breathe better, stop your snoring, and treat your sleep apnea.
This MAS design holds the jaw forward with 2 nylon arms on either side. The arms can be adjusted by yourself at home to gently bring your bottom jaw forward. This MAS design allows the user to open or close their mouth at night.
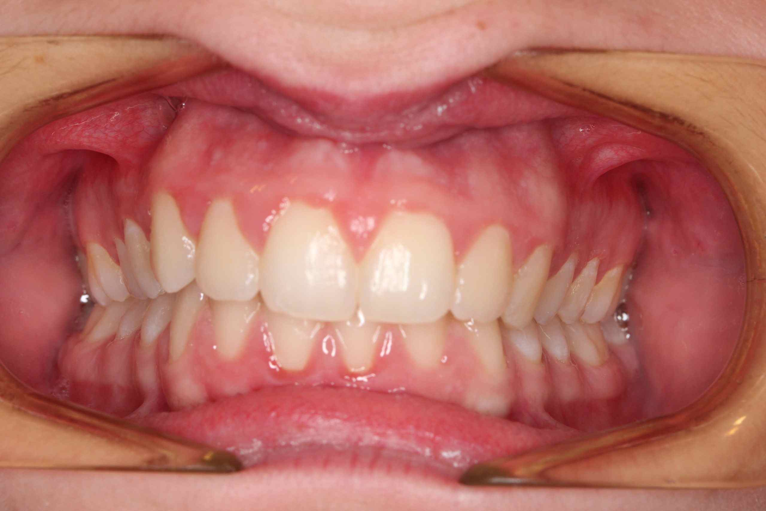
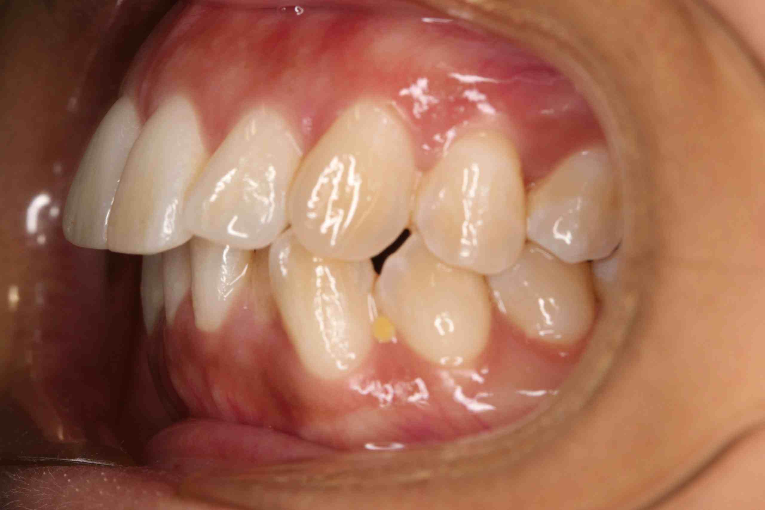
TMJ Splint
(Correcting The Midline To Help Jaw Pain And Headaches)
This type of splint brings the bottom jaw back to the center, and also brings the bottom jaw forward. By correcting the position of the bottom jaw, it re-aligns the TMJ and balances out the bite. This can help reduce jaw pain, jaw clicking, headaches, and facial pain.
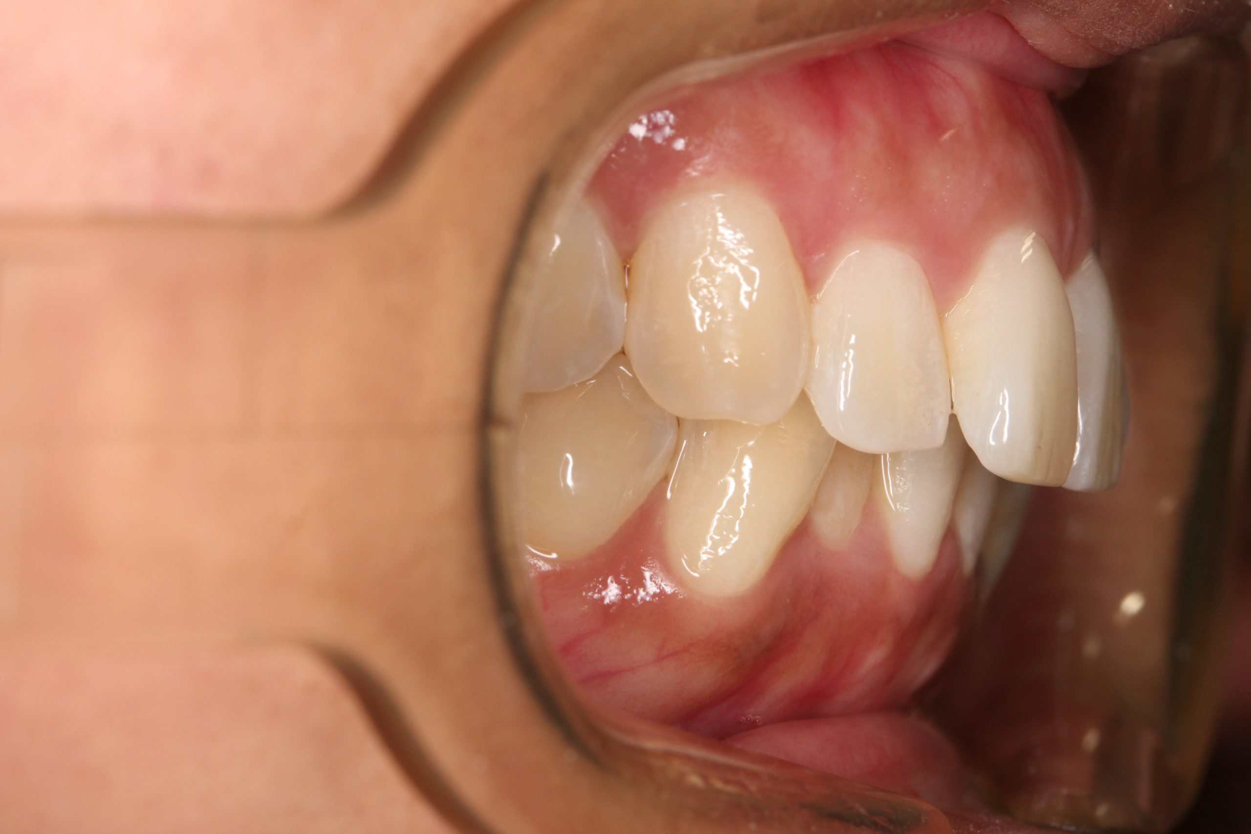
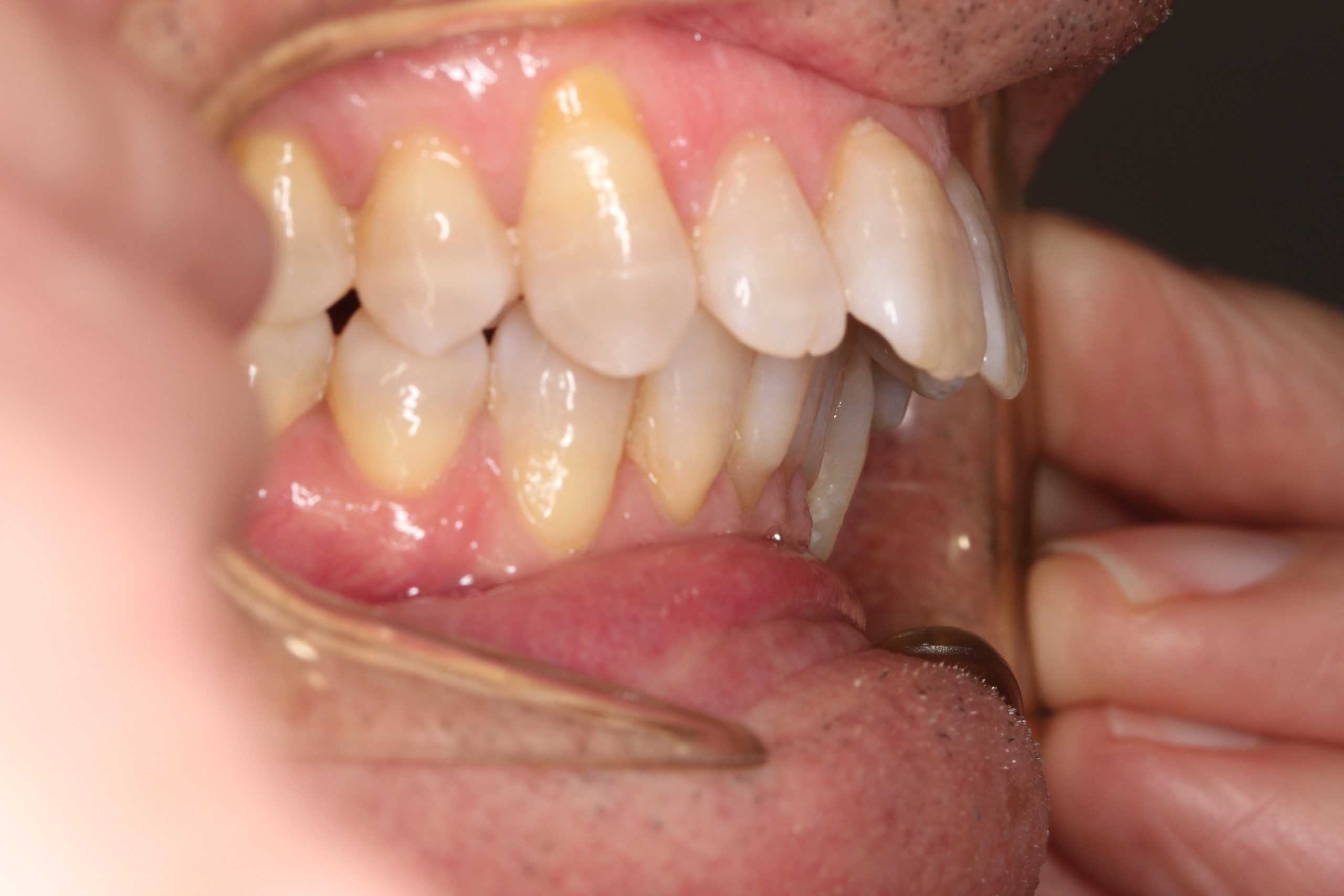
Sleep Apnea Splint.
(Different Design)
3D printed nylon MAS demonstrating how it brings the bottom jaw forward. By bringing the bottom jaw forward at night, your throat and airway will stay patent so you can breathe better, stop snoring, and treat your sleep apnoea.
This MAS design uses blue elastic straps to hold the bottom jaw forward at night. The straps are removable and can be changed to different strengths. This MAS design helps keep the mouth closed at night in mouthbreathers.
Sleep Apnea Appliance
(Old Vs New)
Old Acrylic MAS vs New 3D Printed Nylon MAS
Old Acrylic MAS is significantly bulkier and more uncomfortable compared to the thinner and stronger 3D Printed Nylon MAS.
